





Description
Join us on November 13, 2024, from 9 AM - 10:00 AM EST (6:00 - 7:00 AM PST) for an immersive experience into a fundamental procedure: management of recession and minimally attached gingiva. Don't miss the opportunity to see this connective tissue graft surgery performed live and narrated in real-time and to ask the Mentors your questions live!
How to register:
Click 'add to cart' on this listing and check out. At checkout, please enter the email to which you want the Zoom invite link sent.
What to Expect:
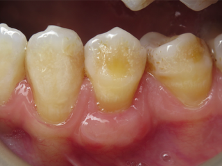
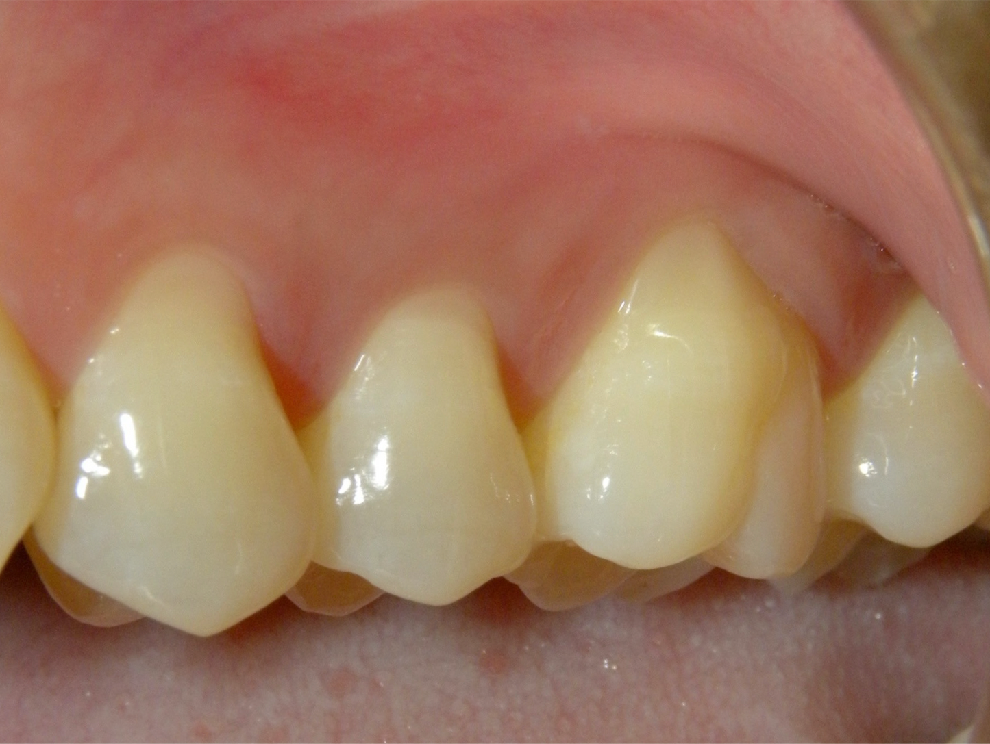
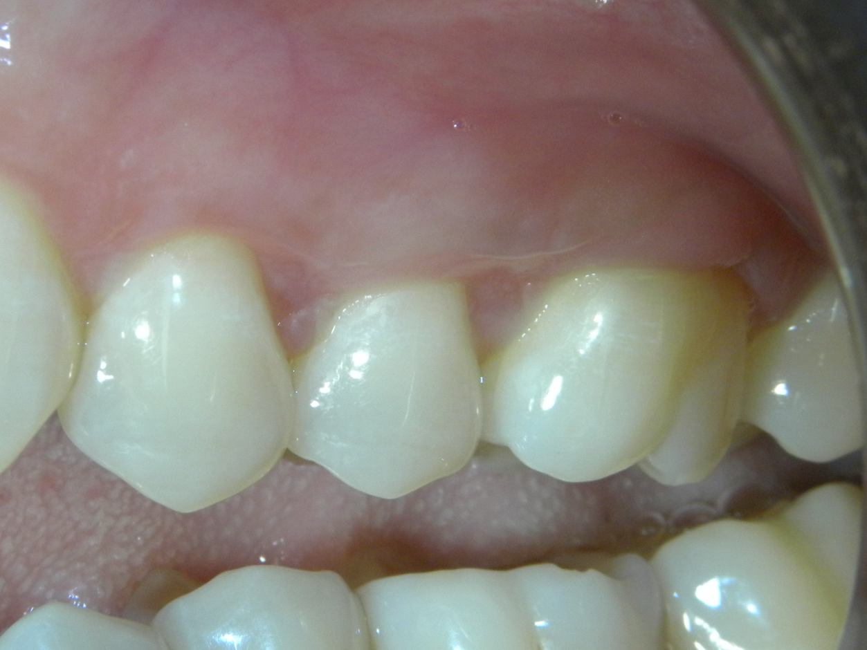
Connective Tissue Graft Surgery: Delve into the nuances of flap design and palatal connective tissue graft harvesting. Dr. Shelemay will demonstrate techniques, discuss indications and share insights garnered from years of clinical experience.
Lead Surgeon: Dr. Avi Shelemay (Periodontist):
Dr. Avi Shelemay brings unparalleled expertise and precision to our live-streamed surgeries. As a distinguished periodontist with extensive experience in implant and periodontal surgery, Dr. Shelemay's surgical prowess and commitment to excellence ensure an enlightening and educational experience for all attendees. Take advantage of this rare opportunity to learn from a world-renowned leader in periodontology.
Moderators:
Dr. Lesley David (Oral and Maxillo Facial Surgeon): With a focus on surgical anatomy and oral rehabilitation, Dr. David will enrich your learning experience with her specialized knowledge.
Dr. Jonathan Ng (Prosthodontist): With extensive experience in complex prosthodontic care and rehabilitation and a focus on esthetic and functional reconstruction, ranging from single teeth to complex prosthodontics, Dr. Ng brings a wealth of perspective.
Who Should Attend:
This course is designed for general dentists seeking to expand their knowledge and skills in periodontal surgery. Whether you're new to periodontal surgery or looking to refine your technique and expertise, this live-streamed event offers invaluable learning opportunities.
Don't Miss Out!
Seize this unparalleled chance to elevate your practice and advance your career in periodontal plastic surgery. Reserve your spot today and embark on a journey toward mastery.
CE Credits:
1 hour (only available to those who attend LIVE)
When:
Wednesday, November 13, 2024, from 9 AM to 10:00 AM EST Live Stream, followed by an online quiz for the CE Certificate (only available to those who attend LIVE).
Where:
Zoom. Your Zoom invitation will be emailed to you after you register. To register, please add this listing to the cart and check out.
Mentors


